scroll

セルフホワイトニング

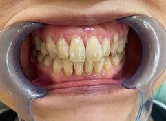
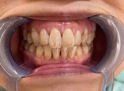
1回目の効果

着色汚れが取れて4トーンアップ
見た目にもわかる変化が得られます。

黄ばみもスッキリ

もちろん一切加工なしです。
あと3〜4回で元々の歯の色に戻ります。
根気良く続けていきましょう♪

ハーブピーリング

目尻のシワ

ハーブピーリング(陶肌トリートメント)の効果でハリがアップし
シワがピーン!!

長年のシミ

ハーブピーリング(陶肌トリートメント)にオプションのシルクパウダーを追加。
むくみも取れて美白肌に!!シミも薄くなりました♪